Fillings
Fillings are used to repair a hole in a tooth caused by decay, or to repair a fracture in the tooth.
Your dentist will offer the most appropriate type of filling according to your clinical needs.
The most common type of filling is an amalgam made from a mixture of metals including mercury, silver, tin and copper. On the NHS are placed on your back teeth – molars and premolars.
Your dentist will offer the most appropriate type of filling according to your clinical needs.
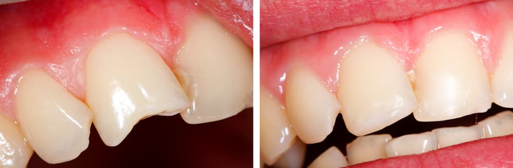
NHS white (composite) fillings are provided on your front teeth and can also be placed on the sides of teeth. It works by being chemically attached to your tooth. This material is aesthetic as it looks like your tooth and comes in several different shades (colours) to help get the best result.
White fillings on back teeth are available, but generally these are done privately. Using white fillings, rather than silver, can hide the fact that your teeth are filled.
Contact us
Tooth Care
View our resources to find out best ways to care for your teeth and others.